New technological innovations and restructuring of costs look to drive breast imaging growth as the prevalence of breast cancer increases
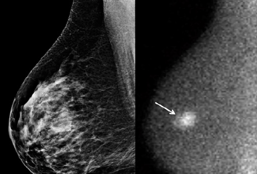
Breast imaging technique is used to detect cancer cells in breasts of women. This imaging technology helps in e early detection of breast cancer in women. The breast imaging techniques provides screening, diagnostic, surgical, and support services to a woman with breast cancer. Mammography, breast ultrasound, MRI and image-guided breast biopsy are some of the most common techniques for breast imaging.
Get Sample PDF Brochure of Study, Click Here

The increasing incidences of breast cancer in women, rising awareness about early detection of breast cancer and technological advancements in breast imaging modalities are the major factors that are fuelling the market for global breast imaging market. Introduction of advanced features with advanced technology and launch of novel devices in the market are anticipated to add novel opportunities for global breast imaging market in the forecast period.
The key players influencing the market are Hologic Inc., General Electric Company, Siemens Healthcare GmbH, Koninklijke Philips N.V., FUJIFILM Corporation, CMR Naviscan, TOSHIBA CORPORATION, SonoCiné, Dilon Technologies, Inc., Aurora Imaging Technology, Inc. and others.
The analysis concludes that continuing to innovate cost-effective technological solutions is the key to offsetting the high costs of breast cancer screening technologies. Examples include molecular breast imaging (MBI) systems, which Grand View Research notes are one-third the price of a typical MRI system. Molecular imaging systems show cellular function by tracing the activity of an injected radiopharmaceutical in the body. This can be employed as a cost-effective follow-up to a screening mammogram to try to reduce the number of false-positive findings requiring biopsies.
Source: TheInsightPartners